EMERGENCY EYE CARE
Our office is available for emergency eye care during regular office hours. We also have an emergency phone line dedicated for our patients to get in contact with one of our on-call doctor after hours. If you have symptoms of “flashes of light”, new “spots/floaters” or a “curtain/veil” in your vision, you could be experiencing an ocular emergency. The retina does not have any pain sensors so these symptoms are your best clue that there may be something wrong. In contrast, the cornea (the clear window on the front of the eye) has more nerve pain sensors that any other part of the body. Injury to the cornea can be incredibly painful. However, in both cases, immediate treatment is needed. Our office staff is well trained to know how to expedite the treatment of these type of injuries. Call immediately when an injury occurs. We are here to help.

Blunt trauma to the orbit can cause multiple serious complications. Trauma from objects such as: racquet ball, fist/elbow/finger, explosive devices, animals, tree branches, and countless others are the cause of many eye injuries. Contusions, otherwise referred to as a “black eye” can result in more than just the obvious bruises on the face. The retina is the nerve tissue that senses light which lines the back of the eye. This is very delicate and sensitive tissue. A tear or detachment of the retina from trauma can lead to permanent vision loss very quickly. Inflammation is another common side effect of trauma. Inflammation caused by trauma can lead to pain, severe vision loss, cataract and glaucoma. Immediate examination and subsequent treatment is needed in any eye injury.
If you inadvertently get chemicals in your eye, there are important steps to take to reduce vision loss. First, immediately flush they eye with water for a minimum of 15-30 minutes. If possible, use something that will provide a constant flow of fresh clean water such as a shower, faucet or garden hose. If wearing contact lenses, immediately remove them prior to flushing the eye as they may be saturated with the chemical and keep the chemical in contact with your eye. Do not try to neutralize the chemical with substances other than water. Do not bandage the eye. Seek immediate medical attention after flushing the eye. To prevent chemical burns to the eye, always wear safety glasses or goggles when handling chemicals. This includes common household cleaning products, which is a frequent source of chemical injuries.
A common injury is a foreign body (metal, wood, or other material) embedded in the cornea or under the eyelid. Performing common tasks such as: mowing/weed whipping, grinding/drilling metal or cutting wood all pose a risk for foreign bodies to be retained in the eye. Very tiny foreign objects which become lodged in the eye are not only painful, but also have risk for causing severe infections as well.
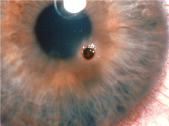
If you experience an iron foreign body in the cornea, as in this photo, it will immediately begin to rust due to the salty consistency of our tears. When the metal particle is removed, there is a remaining rust deposit that has infiltrated the surrounding cornea. We have experience at removing these rust spots. With proper medical treatment these injuries resolve well. A local anesthetic in the form of an eye drop is used to prevent any pain during treatment.
If the foreign particle was embedded in the central visual axis of the cornea, there may be a scar remaining which could effect the patients ultimate visual acuity. Safety glasses are always recommended to prevent these type of injuries.
Other symptoms which are emergent in nature include: sudden (even temporary) vision loss, greying/blacking out of any portion of your vision, sudden onset of new double vision or distortion of your vision. If you experience new or worsening visual symptoms, call (989) 773-2020 right away so we can determine the best way to help preserve your precious sight.
- Make an appointment
Now Accepting New Patients
Routine vision exams for glasses and contact lenses are available at The Eyesite for every member of your family.
Normal Office Hours Open
Monday – Friday
7:30am – 5:30pm
Saturday
CLOSED
Sunday
CLOSED
**Every first Wednesday of the month our office will be closed until 8:30 am for staff training.
We are sorry for any inconvenience.
After hours emergency care available
(989) 773-2020
